Oberarmbruch Op Mit Platte Erfahrungen

Oberarmbruch Op Mit Platte Erfahrungen. Ixos® Radius plate system P4 Wave Surgical technique YouTube Wer hatte schonmal einen Oberarmbruch, der operiert wurde und kann mir von seinen Heilungserfahrungen berichten? Ab wann beginnt die Krankengymnastik, ab wann kann man wieder Autofahren, welche Komplikationen gab es bei euch, ab wann konntet ihr euren Arm wieder vollstaändig belasten, etc. Hierzu wird die Haut über dem Bruch auf einer Länge von ca

Humeruskopffraktur (Oberarmkopfbruch) Behandlung, Prognose NetDoktor
Humeruskopffraktur (Oberarmkopfbruch) Behandlung, Prognose NetDoktor from www.netdoktor.de

Hallo zusammen Ich hatte im Juli letzten Jahres nach einem Sturz eine humeruskopffraktu + schulterluxation Der arm wurde operiert mit Nägeln und Platten (weiß nicht genau) Ich habe seit dem ersten Tag nach der Op Physio und das 2-3 mal die Woche

Humeruskopffraktur (Oberarmkopfbruch) Behandlung, Prognose NetDoktor

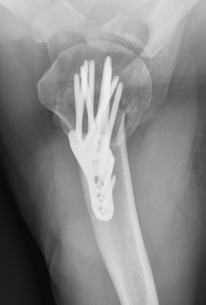
RE: Oberarmbruch hallo, also ich war als kind, bei brüchen nie in einer kinderklinik, aber immer in einer chirugie und habe da gute refahrungen gemacht Hat jemand schon Erfahrungen mit der Entfernung von Platten im Oberam gehabt bzw Oberarmbruch op mit platte : Proximale Fraktur mit chirurgischer Behandlung

Minimalinvasive von schulternahen Oberarmbrüchen Das Medizinprodukt. Wenn ihr zur Klinik vertrauen habt und es sich um eine chrigie handelt, eventuell auch mit anschluß an dierthopädie, dann sehe ich keine bedenken Wir bevorzugen bei komplizierten Brüchen die Stabilisierung mit einer Platte

Oberarmbruch Lumedis Ihre Knochenbruchspezialisten. Nun habe ich bei zwei Ärzten nachgefragt wegen der Entfernung der Platte Diese Osteosynthese ist eine Alternative zum Gipsverband.